Skip to main content

Kontaktfläche durch Strata-G™ Matrizensystem

Dott. Vincenzo Attanasio

Download

Kontaktfläche durch Strata-G™ Matrizensystem

Die Optimierung der Form und des Notfallprofils einer interproximalen Wand ist die heikelste Phase des gesamten konservativen Arbeitsablaufs bei Klasse-II-Läsionen. In diesem Fall wurde die Läsion an der mesialen Wand von Zahn 16 behandelt.

VincenzoAttanasio_001_05072023 Figure 1
VincenzoAttanasio_002_05072023 Figure 2
VincenzoAttanasio_003_05072023 Figure 3
Figure 1. Präoperative Ansicht von Quadrant 1. Zahn 16 mit einer kariösen Läsion an der mesialen Wand.Abbildung 2. Eröffnung und Ausarbeitung der mesialen interproximalen Box von Zahn 16.Abbildung 3. Anpassung einer violetten Strata-G™ SG175-Matrize. Die eingefärbte Antihaftbeschichtung ermöglicht eine perfekte Sicht auf die marginale Passung der Matrize auf der zervikalen Stufe. Die Matrize wird mit der Verwendung eines blauen interproximalen Keils und des Strata-G™ Universal-Trennrings kombiniert.
VincenzoAttanasio_004_05072023 Figure 4
VincenzoAttanasio_005_05072023 Figure 5
VincenzoAttanasio_006_05072023 Figure 6
Figure 4. Selektives Ätzen des Zahnschmelzes.Abbildung 5.Auftragen eines Universalklebers.Abbildung 6. Wiederherstellung der mesialen interproximalen Wand an Zahn 16 unter Verwendung der zentripetalen Aufbautechnik.
VincenzoAttanasio_007_05072023 Figure 7
VincenzoAttanasio_008_05072023 Figure 8
VincenzoAttanasio_009_05072023 Figure 9
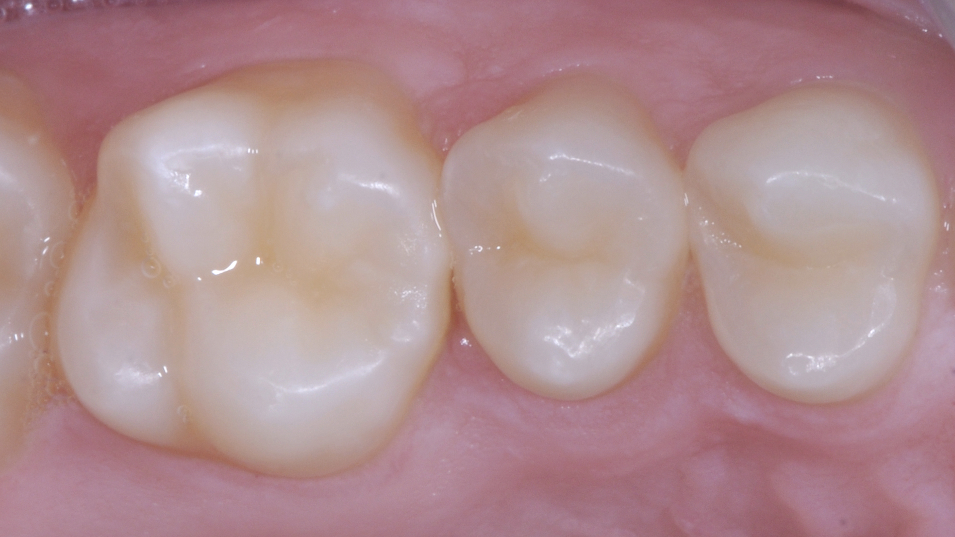
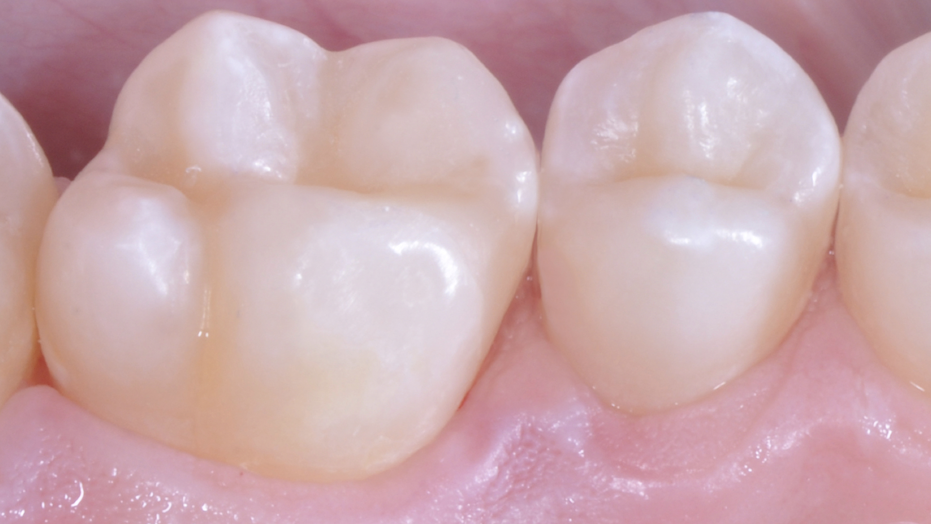
Abbildung 7. Polieren der koronalen und bukkolingualen Bereiche im Kontaktbereich mittels Schleifscheiben.Abbildung 8. Polieren des zervikalen Bereichs mit dem FitStrip™-System.Abbildung 9. Anatomische und funktionelle Wiederherstellung der mesialen Wand von Zahn 16.
VincenzoAttanasio_010_05072023 Figure 10
VincenzoAttanasio_011_05072023 Figure 11
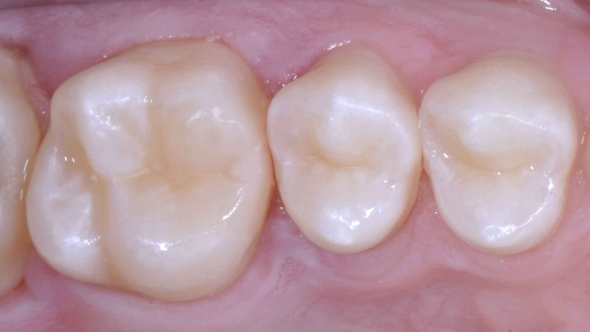
Abbildung 10. Okklusale Ansicht der fertiggestellten und polierten Rekonstruktion.Abbildung 11. Linguales Detail der Anatomie, die der interproximalen Wand durch das Strata-G™ Matrizensystem verliehen wurde.